sonrisas de nuestros pacientes




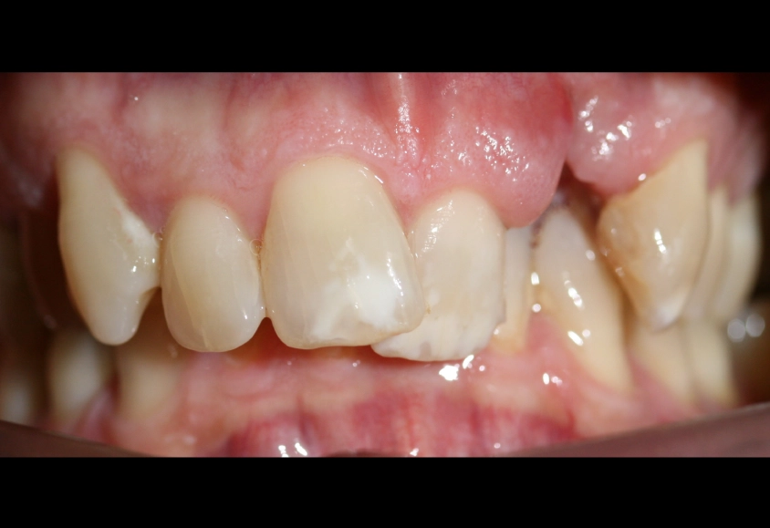
Ventajas de la Ortodoncia con Brakets
- Profesional. Diagnóstico y seguimiento por nuestro odontólogo especialista en ortodoncia.
- Efectividad. Sistema muy efectivo para sonrisas muy desalineadas, mordidas y posición dental complejas. Gracias a nuestro sistema de Brackets sin ligaduras, el tiempo total del tratamiento se reduce considerablemente.
- Cómodos. Este sistema de Brackets generan menos molestias que los Brackets “normales”.
- Estética. Estos Brackets son más pequeños y menos perceptibles visualmente.
- A tu alcance. Financiación a tu medida.
tu tratamiento paso a paso
Primera visita
30 minutos
1ª cita
- Tomamos medidas digitales con un escáner intraoral, para elaborar un modelo 3D de tu boca.
- Fotografías diagnósticas.
- CBCT (radiografía 3D) para valorar el hueso alrededor de tus dientes.
Estas medidas nos ayudarán a realizar una planificación precisa.
colocación de la ortodoncia
60 minutos
2ª cita
- Colocamos los brackets.
- Te explicamos el funcionamiento del tratamiento: cuidados y revisiones periódicas.
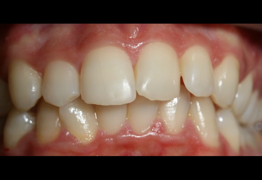
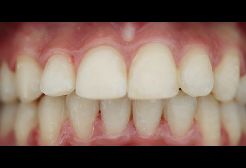
¿Qué es la ortodoncia con brackets?

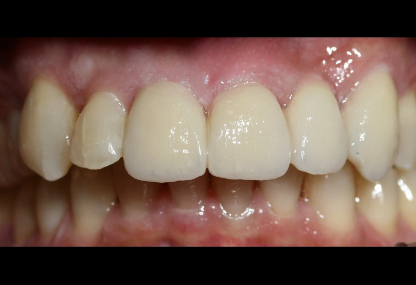
Ventajas de nuestro sistema de Brackets
Tecnología más precisa
Movimientos más rápidos y eficientes
Menos visitas al dentista
Mejor estética durante el tratamiento
Al no llevar ligaduras, los brackets se ven más discretos y se mantienen limpios por más tiempo.
Mayor comodidad
Al no llevar ligaduras, estos brackets generan menos rozaduras y una sensación más suave en labios y mejillas en comparación con brackets de otro tipo.
Menor presión inicial
Al permitir que el arco se desplace con menos fricción, los movimientos dentales suelen generar menos molestias al inicio del tratamiento.

Preguntas frecuentes
¿Duele llevar brackets?
Es normal sentir una ligera presión o sensibilidad los primeros días, pero suele desaparecer rápidamente. Utilizamos técnicas y materiales modernos que reducen al mínimo las molestias, y te acompañamos durante todo el proceso para que la adaptación sea lo más cómoda posible.
¿Se me van a manchar los dientes durante el tratamiento?
Con una buena higiene y las revisiones pautadas, no tiene por qué haber manchas. Te enseñaremos técnicas de cepillado específicas y te daremos recomendaciones personalizadas para mantener tus dientes y encías sanos durante todo el tratamiento.
¿Podré comer con normalidad?
Sí, aunque durante los primeros días es mejor optar por alimentos más blandos hasta que te acostumbres. Después podrás comer prácticamente de todo, simplemente evitando alimentos muy duros o pegajosos que puedan dañar los brackets.
¿Cuánto dura el tratamiento con brackets?
La duración depende de cada caso, pero la mayoría de tratamientos se completan entre 12 y 24 meses. Te daremos una estimación personalizada desde el primer día y haremos un seguimiento constante para asegurarnos de que avanzas al ritmo adecuado.
¿Se me pueden despegar los brackets?
Ocasionalmente, un bracket puede despegarse si se muerde algo muy duro o por un golpe accidental. Si ocurre, simplemente contáctanos y lo recolocaremos enseguida para que tu tratamiento continúe con total normalidad.
Lo que opinan nuestros pacientes






Llevamos más de 30 años utilizando su servicio. Todo muy familiar, muy limpio, acogedor y un gran equipo.
Se nota una gran vocación que se traduce en profesionalidad, atención y delicadeza.
100% recomendable.


Los profesionales de la clínica son verdaderos expertos en su campo y se toman el tiempo para explicar cada paso del proceso, asegurándose de que estés cómodo y relajado en todo momento.
El trabajo que realizan es impecable y los resultados son increíbles. Me sentí muy satisfecho con el tratamiento que recibí.

