Blanqueamiento
dental
resultados visibles en 30 minutos.
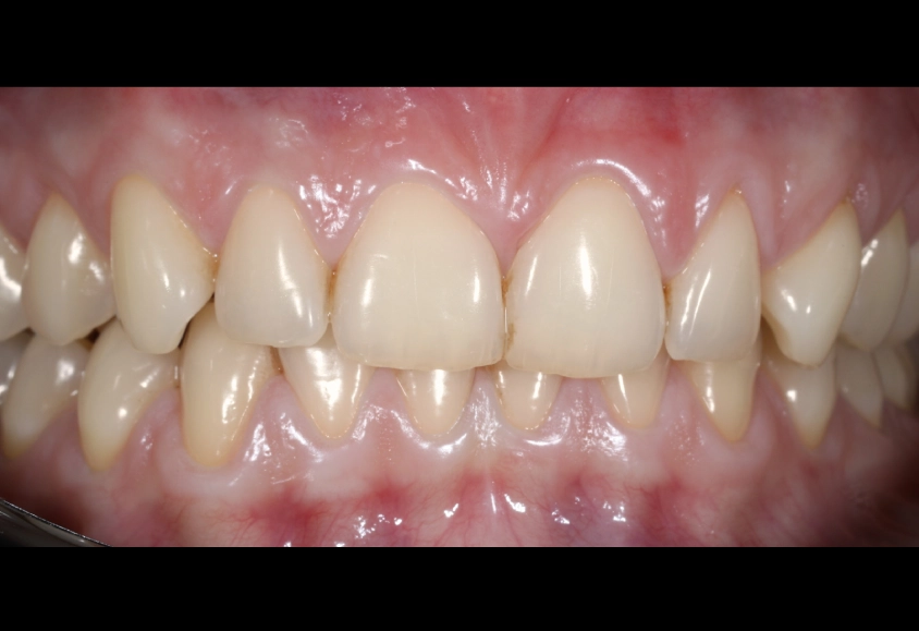
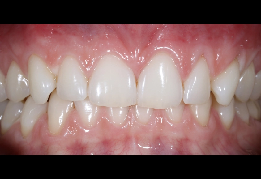
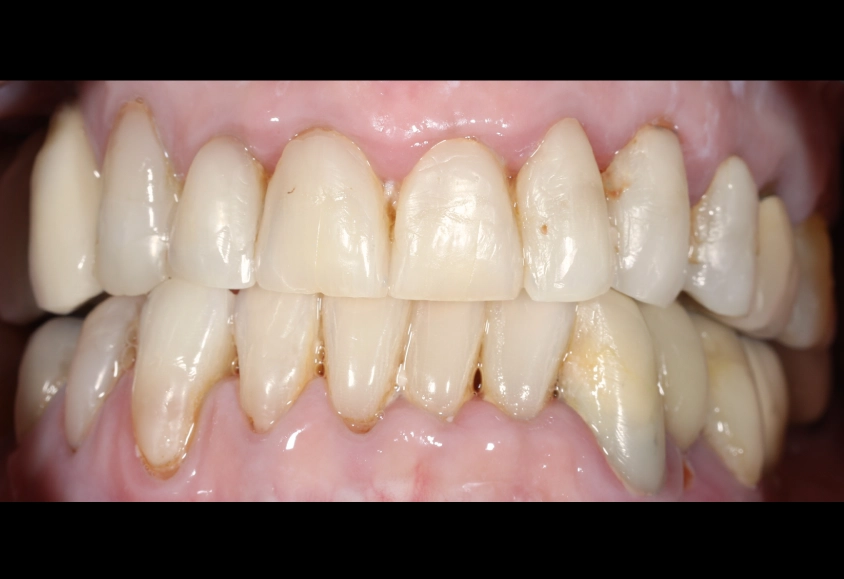
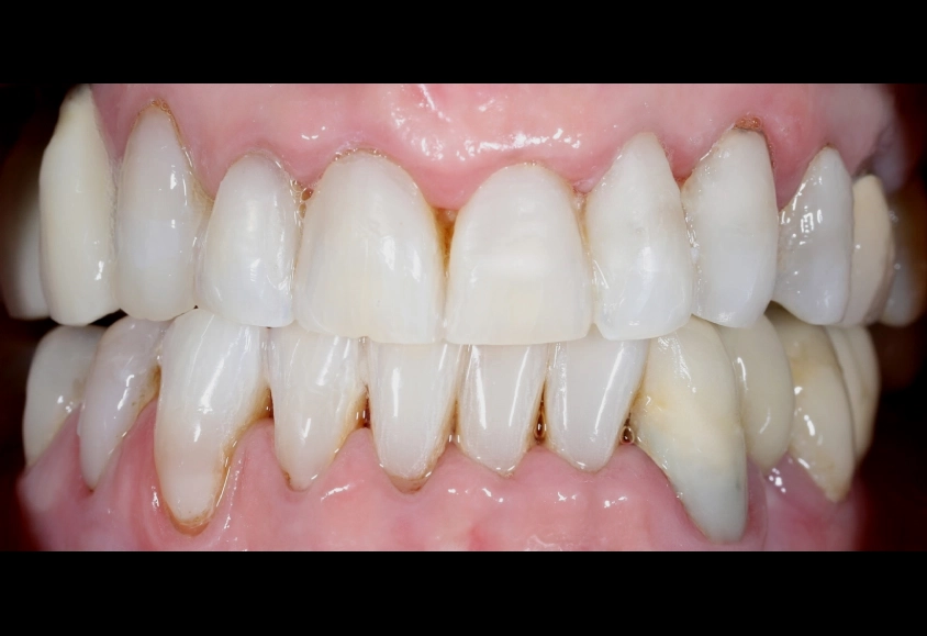
Sonrisas de nuestros pacientes


¿En qué consiste el blanqueamiento dental?
Nuestro blanqueamiento dental combina un gel de alta eficacia que ofrece un aclaramiento visible desde la primera sesión, con una sensibilidad mínima incluso en los pacientes más delicados.
Utilizamos una luz activadora de alta potencia, diseñada para potenciar el efecto del gel y conseguir tonos más claros en menos tiempo y con total seguridad para tu esmalte. El resultado es una sonrisa más luminosa, natural y rejuvenecida en sólo 30 minutos. Si buscas un cambio estético inmediato y sin molestias, éste es tu tratamiento.



Preguntas frecuentes
¿Cuánto tiempo dura el blanqueamiento dental?
La duración del blanqueamiento varía según cada paciente, pero habitualmente los resultados se mantienen alrededor de 1 año. El estilo de vida, la alimentación y los hábitos diarios influyen directamente en la estabilidad del color.
Por este motivo, en nuestra clínica no solo realizamos el tratamiento; sino que ofrecemos un asesoramiento personalizado para ayudarte a conservar una sonrisa luminosa durante el mayor tiempo posible.
¿El blanqueamiento dental daña el esmalte?
No, blanquearte los dientes no daña el esmalte si este se realiza correctamente. Para evitar dañar el esmalte natural de los dientes es preciso que el tratamiento blanqueante se haga con un PH neutro y una luz que no genere un cambio de temperatura en el diente del paciente. Mientras se realice bien, es un tratamiento totalmente inocuo.
¿El blanqueamiento dental duele?
No duele. Solo en un número reducido de persones con una alta sensibilidad dental puede experimentar ligero dolor en forma de un aumento en la sensibilidad al frío y calor, pero es algo temporal (suele durar 24/48 horas).
¿Tiene efectos secundarios el blanqueamiento dental?
No tiene efectos secundarios. El blanqueamiento se hace con productos de la más alta calidad y en las dosis seguras para no producir ningún efecto secundario. Solo en algunos casos puede aparecer una pequeña sensibilidad dental que se va en unas 48 horas.
Lo que opinan nuestros pacientes






Llevamos más de 30 años utilizando su servicio. Todo muy familiar, muy limpio, acogedor y un gran equipo.
Se nota una gran vocación que se traduce en profesionalidad, atención y delicadeza.
100% recomendable.


Los profesionales de la clínica son verdaderos expertos en su campo y se toman el tiempo para explicar cada paso del proceso, asegurándose de que estés cómodo y relajado en todo momento.
El trabajo que realizan es impecable y los resultados son increíbles. Me sentí muy satisfecho con el tratamiento que recibí.

