Implantes
dentales
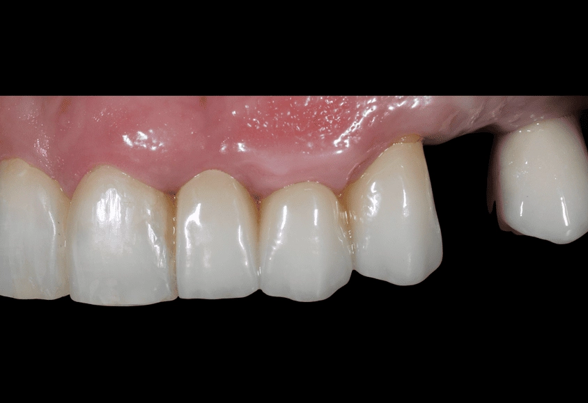
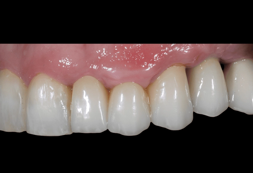
Sonrisas de nuestros pacientes




Ventajas de los implantes dentales
- Mínimamente invasivo. Gracias a nuestro protocolo de micro-fresado.
- Sin dolor. Gracias a nuestras técnicas avanzadas en anestesia.
- Seguro y preciso. Diagnosticado y realizado por nuestros implantólogos junto con la última tecnología.
- A tu alcance. Financiación personalizada.
Tu tratamiento paso a paso
Primera visita
30 minutos
1ª cita
Consulta con nuestro odontólogo experto en implantología oral.
Pruebas diagnósticas con la última tecnología:
- Estudio radiológico, panorámica, TAC 3D.
- Estudio fotográfico completo.
colocación de implantes
Según número de implantes
2ª cita
Colocación de implantes con cirugía mínimamente invasiva, gracias a nuestra tecnología de micro-fresado.
- Colocación de prótesis provisional.
- Nunca estarás sin dientes.
implante unitario

sobredentadura

REHABILITACIÓN COMPLETA

¿ qué tipo de implantes usamos?

Nuestros implantes destacan por su altísima tasa de éxito gracias a su superficie altamente osteoconductiva, que favorece una integración ósea más rápida y predecible. Su diseño de ofrece una unión extremadamente estable, reduciendo micromovimientos y protegiendo el hueso a largo plazo. Además, su geometría optimizada permite colocaciones mínimamente invasivas, con menor inflamación y una recuperación más cómoda para el paciente.
Todo ello se traduce en implantes más estables, duraderos y con resultados estéticos y funcionales superiores.
tipos de coronas
Las coronas dentales sobre implantes son esencialmente el reemplazo de la parte superior de un diente que ha sido perdido. Se colocan sobre una base, conocida como implante dental, que actúa como la raíz artificial del diente. Esta combinación permite restablecer la función masticatoria y brinda un aspecto estético muy similar al diente natural.
Corona de Metal - Porcelana
- Composición: Poseen un núcleo metálico recubierto con porcelana.
- Estética: Aunque imitan bien el diente natural, su translucidez es limitada por el núcleo metálico.
- Recomendación: Son adecuadas para dientes situados en la parte posterior de la boca debido a su resistencia.
Corona de Zirconio
- Composición: Fabricadas íntegramente con Zirconio, un material 100% biocompatible.
- Estética: Ofrecen una apariencia casi idéntica a los dientes naturales gracias a su translucidez (ya que no lleva nada de metal).
- Recomendación: Son la elección preferida para los implantes, no sólo por su estética; sino porque ha sido demostrado científicamente que la biocompatibilidad corona-implante, es mucho mejor cuando la corona es de Zirconio. Esto se traduce en: menos filtración bacteriana, menos riesgo de peri-implantitis (infección del implante) o inflamación de los tejidos blandos adyacentes.

Preguntas frecuentes
¿Cuánto dura un implante dental?
En Clínica Dental Guerrero, comprendemos que la decisión de optar por un implante dental es significativa para nuestros pacientes, no solo por el impacto estético y funcional que supone, sino también por la inversión a largo plazo en su salud y bienestar dental.
Los implantes dentales están diseñados para ser una solución duradera en caso de que tengas un diente roto o te falte la pieza dental, y decidas reemplazarlo con el implante. Con el cuidado adecuado, pueden durar hasta décadas. La clave de su longevidad reside en la calidad del procedimiento realizado y en los cuidados postoperatorios, así como en la higiene dental continua y revisiones periódicas a lo largo de los años.
¿Qué cuidados debo llevar en el post-operatorio?
El periodo que sigue a la colocación del implante es crítico para su éxito. En Dental Guerrero, proporcionamos instrucciones detalladas de cuidado postoperatorio para garantizar una cicatrización adecuada y la correcta integración del implante. Esto incluye recomendaciones sobre la higiene oral, la alimentación y las actividades a evitar durante los primeros días tras la cirugía. Seguir estas indicaciones al pie de la letra es esencial para evitar infecciones y asegurar que el implante se fije correctamente al hueso, lo que contribuye significativamente a su durabilidad. Toda la información será proporcionada por nuestro doctor especialista en el momento debido.
¿Qué precauciones debo tener si tengo implantes?
Hábitos y estilo de vida. Los hábitos personales y el estilo de vida del paciente juegan un papel crucial en la durabilidad de los implantes dentales. El consumo de tabaco y alcohol, por ejemplo, puede comprometer la salud de los tejidos que rodean el implante. Es conveniente evitar hábitos perjudiciales y adoptar prácticas saludables para asegurar que los implantes duren tanto como sea posible.
¿Tengo que ir a revisión?
Nuestros especialistas en implantología programarán citas de seguimiento para monitorear la evolución del implante dental y prevenir o tratar posibles afecciones dentales.
Incluso si el implante dental ha estado en su lugar durante años sin causar inconvenientes, es recomendable continuar con las revisiones periódicas, ya que algunas enfermedades no manifiestan síntomas o dolor inicialmente.
Lo que opinan nuestros pacientes






Llevamos más de 30 años utilizando su servicio. Todo muy familiar, muy limpio, acogedor y un gran equipo.
Se nota una gran vocación que se traduce en profesionalidad, atención y delicadeza.
100% recomendable.


Los profesionales de la clínica son verdaderos expertos en su campo y se toman el tiempo para explicar cada paso del proceso, asegurándose de que estés cómodo y relajado en todo momento.
El trabajo que realizan es impecable y los resultados son increíbles. Me sentí muy satisfecho con el tratamiento que recibí.

